Tắc nghẽn đường ra của dạ dày ( Gastric outlet obstruction) hay còn gọi là hẹp môn vị – tá tràng ( gọi tắt là hẹp môn vị), là một biến chứng gây nên cản trở cơ học trong việc làm trống dạ dày. Nguyên nhân gây nên hẹp môn vị có thể chia thành 2 nhóm đó là lành tính và ác tính. Trong hầu hết các trường hợp bệnh biểu hiện bằng nôn sau ăn, dẫn đến mất nước và rối loạn điện giải nếu không được điều trị [1]. Để hiểu sâu hơn về bệnh này thì chúng ta cùng tìm hiểu qua bài này nhé!

1. Dịch tễ học
- Tần suất mới mắc của hẹp môn vị – tá tràng thường không chính xác. Dưới 5% trường hợp viêm loét dạ dày tá tràng tiến triển thành hẹp môn vị. Tần suất thuyên giảm trong nhiều năm gần đây do bệnh loét dạ dày tá tràng – nguyên nhân chính gây hẹp môn vị, đã được điều trị hiệu quả.
- Bệnh nguyên của hẹp môn vị cũng có sự thay đổi. Từ thập niên 70 của thế kỷ trước cho thấy các bệnh lý lành tính là nguyên nhân chính gây hẹp môn vị, ung thư chỉ chiếm 10-39%. Ngược lại, trong những năm gần đây, 50-80% các trường hợp là do ung thư [1].
- Một nhóm nghiên cứu tại Viện Nhi Trung Ương vào năm 2023 nhận thấy hẹp phì đại môn vị thường gặp ở nam hơn ở nữ và tỉ lệ nam/nữ xấp xỉ 3,6/1 [2].
2. Bệnh nguyên
- Loét dạ dày tá tràng, đặc biệt là loét dạ dày tá tràng do vi khuẩn Hp( Helicobacter pylori) là nguyên nhân lành tính thường gặp nhất gây hẹp môn vị.
- Bệnh lí ác tính: Ung thư vùng hang môn vị cũng là nguyên nhân ác tính gây nên hẹp môn vị.
- Thuốc kháng viêm không steroid ( NSAID) với cơ chế làm giảm tổng hợp prostaglandin E2 gây đưa đến tình trạng phù nề ở môn vị và làm rối loạn chức năng của dạ dày, tăng nguy cơ loét dạ dày tá tràng, là nguyên nhân chính dẫn tới hẹp môn vị.
- Viêm tụy mạn, viêm tụy cấp, tụy dạng vòng với cơ chế chưa được rõ ràng nhưng nó vẫn là nguyên nhân dẫn tới hẹp môn vị.
- Nuốt hóa chất làm tổn thương niêm mạc thực quản và dạ dày, là một trong những nguyên nhân gây hẹp môn vị [1].
3. Lâm sàng
3.1. Triệu chứng cơ năng
- Buồn nôn, nôn: nôn là triệu chứng nổi bật, xuất hiện khi nghẽn tắc hoàn toàn.
-
- Giai đoạn tăng trương lực, nôn từng đợt, nôn muộn nhiều giờ sau ăn, ra nhiều thức ăn cũ chưa tiêu hóa, có thể màu vàng mật ( tắc dưới nhú Vater)
- Giai đoạn mất trương lực, nôn thưa hơn nhưng mỗi lần nôn thì lượng chất nôn rất nhiều. Đôi khi bệnh nhân chỉ buồn nôn.
-
- Đau bụng
-
- Giai đoạn tăng trương lực , đau trên rốn sau ăn hoặc về đêm; đau quặn từng cơn, giảm sau nôn.
- Đau do nguyên nhân gây hẹp với các tính chất của nó ( loét, ung thư, viêm tụy, sỏi mật,….)
-
- Cảm giác đầy bụng: ở giai đoạn rất sớm, khi triệu chứng nôn và đau chưa rõ, bệnh nhân đói them ăn nhưng ăn thì lại no sớm, cảm giác đầy bụng, căng tức khó chịu
- Trướng bụng: Giai đoạn đầu thì chỉ trướng vùng trên rốn. Về sau, dạ dày mất trương lực, giãn lớn đến vùng chậu thì trướng cả trên dưới rốn [3].
3.2. Triệu chứng thực thể
- Bụng lõm hình thuyền
- Dấu óc ách
- Dấu Bouveret: Rõ ở giai đoạn tăng trương, dạ dày tăng co bóp tống xuất thức ăn , là những đợt nhu động nổi cuộn trên rốn, từ dưới sườn trái sang phải, có thể nhìn thấy được hoặc sờ được cảm giác dưới tay khám [3].

3.3. Triệu chứng toàn thân
Triệu chứng toàn thân rõ khi bệnh kéo dài, nhập viện muộn [3].
- Sụt cân, suy dinh dưỡng
- Dấu mất nước
- Rối loạn tri giác
3.4. Cận lâm sàng
3.4.1. Xét nghiệm máu
- Điện giải: Na+, Cl- ,K+, Ca2+ máu giảm. Đo HCO3- giảm hoặc tăng tùy giai đoạn.
- Công thức máu: HBG giảm, HCT có thể bình thường hoặc tăng nhẹ do cô đặc máu.
- Chức năng thận: URE và CRE máu tăng, eGFR giảm.
- Dinh dưỡng có Protid, albumin và pre-albumin máu giảm.
3.4.2. X Quang
- Chiếu: vùng hang vị tăng co bóp ở giai đoạn tăng trương lực cơ. Mất trương lực cơ dạ dày giãn, ứ đọng nhiều dịch, thức ăn có hình ảnh tuyết rơi, nhu động giảm hẳn.
- Chụp: hình ảnh khuyết thuốc nham nhở không đều ở hang vị gợi ý sang thương ác tính, dạ dày cũng ít khi dãn lớn.


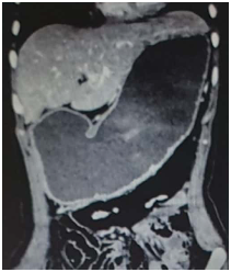
3.4.3. Chụp CLVT Bụng có tiêm thuốc cản quang
- Có giá trị trong chẩn đoán, nguyên nhân , giai đoạn và nhất là trong ác tính

3.4.4. Nội soi dạ dày tá tràng:
- Ống nội soi không qua được lỗ hẹp là tiêu chuẩn chẩn đoán hẹp môn vị – tá tràng.
- Nội soi cho phép lấy mấu vật để xác định bản chất giải phẫu bệnh, tuy nhiên độ nhạy kém nếu sang thương xuất phát từ lớp dưới niêm mạc hay từ ngoài chèn vào hoặc vượt quá khả năng tiếp cận của ống soi.

4. Chẩn đoán
4.1. Chẩn đoán xác định
- Giai đoạn sớm:
-
- Trướng bụng, khó tiêu sau ăn.
- Triệu chứng chưa rõ.
- Xét nghiệm máu bình thường.
- Nội soi dạ dày ống soi không qua được chỗ hẹp.
-
- Giai đoạn trễ:
-
- Đã có đầy đủ triệu chứng lâm sàng, sinh hóa, hình ảnh.
- Đánh giá toàn trạng để hồi sức kịp thời
- Tiến hành nội soi hoặc chẩn đoán hình ảnh để xác định rõ nguyên nhân.
-
4.2. Chẩn đoán nguyên nhân
- Tiền sử: viêm loét dạ dày, uống hóa chất, sỏi mật,…
- Bệnh sử: đột ngột( polyp hang vị có cuống, xoắn dạ dày, sỏi mật,…), thời gian ngắn(nguyên nhân ác tính), kéo dài( nguyên nhân lành tính)
- Bệnh cảnh
- Triệu chứng kèm theo: Viêm đường mật( sỏi mật), vàng da do tắc mật,….
- Nội soi dạ dày
- Chụp CLVT bụng có cản quang
- Giai đoạn sớm thường chưa có biến chứng
- Giai đoạn muộn:
-
- Giảm thể tích tuần hoàn: thiểu niệu, suy thận, rối loạn huyết động.
- Rối loạn điện giải
- Suy dinh dưỡng
-
4.4. Chẩn đoán phân biệt
- Tắc ruột cao: tắc hồi tràng do dính, do u,…. Bệnh cảnh tắc ruột trội hơn hẹp môn vị, chụp CLVT bụng có cản quang để chẩn đoán.
- Hội chứng ứ đọng dạ dày: buồn nôn, nôn, no sớm, tức bụng sau ăn. Nội soi, X Quang dạ dày, chụp CLVT bụng không thấy nguyên nhân cơ học. Xạ hình tống xuất dạ dày.
Tài liệu tham khảo
- Ngoại Khoa Ống Tiêu Hóa, 81-92, Bộ môn ngoại-ĐH Y Dược thành phố HỒ Chí Minh.
- Đặc điểm lâm sàng, cận lâm sàng của trẻ em hẹp phì đại môn vị điều trị tại bệnh viện Nhi Trung Ương giai đoạn 2018-2013,Lê Hoàng Long.
- Bệnh học Ngoại khoa Tiêu Hóa, 49-75, Bộ môn ngoại-ĐH Y Dược thành phố HỒ Chí Minh.
(Còn nữa)
Y khoa Diễn đàn Y khoa, y tế sức khoẻ, kiến thức lâm sàng, chẩn đoán và điều trị, phác đồ, diễn đàn y khoa, hệ sinh thái y khoa online, mới nhất và đáng tin cậy.
