
6. Theo dõi và xử trí: a. Tiêu chuẩn nhập viện: (tuổi thai ≥ 26 tuần) 📝CVVB/ULCN < 3rd. 📝CVVB/ULCN từ 3rd- 10th kèm theo một số các dấu hiệu sau: mẹ có bệnh nội khoa, kết quả siêu âm Doppler bất thường, thiểu ối, CTG nghi ngờ. b. Nguyên tắc xử trí: 📝Chấm dứt …
2. Triệu chứng: a. Lâm sàng: 🤰Triệu chứng cơ năng: 🧏♀️Không có dấu hiệu đặc trưng. 🧏♀️Có thể một số gợi ý: ✏️Có yếu tố nguy cơ đi kèm. ✏️Mẹ tăng cân ít hơn bình thường. ✏️Phát hiện một số nguyên nhân gây thai chậm tăng trưởng: mẹ bị cao huyết áp, bệnh lý mạn …
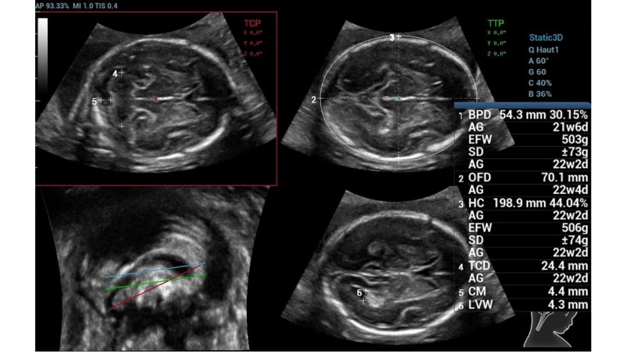
1. Khái niệm: 👩⚕️Theo Liên đoàn Sản Phụ khoa Quốc tế (The International Federation of Gynecology and Obstetrics – FIGO) 2021, thai chậm tăng trưởng (FGR) là việc thai nhi không đáp ứng được tiềm năng phát triển của nó do một hay nhiều yếu tố bệnh lý gây ra, thường gặp nhất là tình …
1. Nguyên lý hoạt động của vòng xoay tính tuổi thai: Vòng xoay tính tuổi thai là công cụ dùng để tính nhanh tuổi thai ở thời điểm một thời điểm mong muốn. [6] Vòng xoay tính tuổi thai hoạt động dựa trên nguyên lý tính toán ngày dự sinh theo chu kỳ kinh nguyệt …
Siêu âm trong tam cá nguyệt thứ nhất (tính đến hết thời điểm 13 tuần + 6 ngày tuổi thai) là phương pháp tốt nhất để định tuổi thai. Tuổi thai từ 11 tuần cho đến 13 tuần 6 ngày cũng có thể dùng sinh trắc của đầu thai để định tuổi thai. ISUOG không …
👨👩👧👦Siêu âm thực hiện trong tam cá nguyệt thứ nhất của thai kì được dùng để định tuổi thai vì trong giai đoạn này kích thước của phôi phát triển tương ứng với tuổi thai. 👨👩👧👦Trong tam cá nguyệt thứ nhất của một thai kì bình thường, phôi phát triển với một tốc độ tương …
1. Tuổi thai là gì? 🤰Tuổi thai là tuổi của thai kì. Đơn vị tính tuổi thai là tuần. 🧏♀️Tại một thời điểm cụ thể được xem xét, tuổi thai là khoảng thời gian đã qua, kể từ “điểm mốc zero qui ước” để tính tuổi thai cho đến thời điểm đang được xét. …
I. Động học hCG trong thai kỳ: 1. Sự gia tăng hCG trong ba tháng đầu: hCG có thể tìm thấy trước khi trễ kinh, tăng dần đến đỉnh ở tuần thứ 8-10 của thai kỳ sau đó giảm dần. Ở thai kỳ bình thường có thể phát hiện hCG sau đỉnh LH 9-11 ngày …
1) Cấu trúc – nguồn gốc phân tử 🧬human Chorionic Gonadotropin (hCG) là một glycoprotein có trọng lượng phân tử 36000-40000 Da. Đây là hormone có chứa nhiều liên kết carbonhydrate nhất trong các hormone ở loài người. Chính nhờ số lượng liên kết carbonhydrate lớn và đoạn C-terminal mà hCG có thời gian bán …
Quá trình thụ tinh, làm tổ của hợp tử 🤰Thai kỳ bình thường sẽ có độ dài là 40 tuần (280 ngày) kể từ ngày bắt đầu của kỳ kinh cuối cùng. Ngày kinh cuối cùng là một điểm mốc để đánh dấu sự kiện có thai. 🤰Kỳ thực, thai kỳ chỉ thật sự bắt …
Y khoa Diễn đàn Y khoa, y tế sức khoẻ, kiến thức lâm sàng, chẩn đoán và điều trị, phác đồ, diễn đàn y khoa, hệ sinh thái y khoa online, mới nhất và đáng tin cậy.
