GÃY BENNETT
Gãy Bennett hay còn gọi là gãy xương đấm bốc là gãy xương ở nền đốt bàn ngón 1 bàn tay.
Là loại gãy xương bàn tay hay gặp thứ 2 sau gãy xương bàn ngón 5, chiếm ¼ trong số các gãy xương đốt bàn.

Giải phẫu
Khớp thang bàn là một khớp hình hai yên ngựa tựa vào nhau. Các dây chằng chéo gan tay tạo sự vững khớp bờ trụ, bờ quay là điểm bám tận của gân dạng ngón tay cái dài. [2]
Cơ chế chấn thương
Lực nén mạnh được truyền dọc trục xương bàn tay cái khi ngón cái đang trong tư thế gấp một phần (không duỗi thẳng hoàn toàn). Thường xảy ra khi đấm bốc, ngã chống tay hoặc tai nạn giao thông. [1]
Dây chằng chéo gan tay giữ mảnh xương bờ trụ nền xương bàn ngón một. Đầu xa xương bàn ngón một khép và ngửa do tác dụng của cơ khớp ngón cái, đồng thời bị lệch về đầu gần do gân dạng ngón cái dài [2]
Phân loại
Năm 1952, Gedda phân loại gãy Bennett thành 3 dạng (hiện nay ít dùng) [3]
Gedda Classification of Bennett Fractures
Type 1. Large single ulnar fragment and subluxation of the metacarpal base
Type 2. Impaction fracture without subluxation of the thumb metacarpal
Type 3. Small ulnar avulsion fracture fragment in association with metacarpal dislocation
Phân loại ngày nay dựa trên mức độ di lệch:
– Gãy không di lệch hoặc ít di lệch (dưới 1-3mm) (ít gặp): Mảnh gãy nằm đúng vị trí giải phẫu, ít hoặc không trật khớp.
– Gãy di lệch một phần: Mảnh gãy di lệch, có bán trật khớp
– Gãy di lệch hoàn toàn: Mảnh gãy trượt hẳn ra khỏi vị trí, trật khớp rõ rệt
Điều trị [1]
- Điều trị bảo tồn: Gãy kín không di lệch
- Nắn kín và cố định trong: gãy di lệch có thể nắn được


Thực hiện nắn kín bằng cách kết hợp: Kéo theo trục dọc → Sấp đốt bàn → Ép vào nền đốt bàn ngón 1 [2]
Kiểm tra lại sự phục hồi mặt khớp dựa vào C-arm (màn hình tăng sáng)
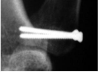
Có 3 phương án cố định trong:

Xuyên qua nền đốt bàn ngón 1 vào xương thang.
Xuyên qua nền đốt bàn ngón 1 vào xương bàn ngón 2. [2]
Kết hợp cả 2.
- Nắn mở và cố định trong: gãy di lệch không thể nắn được (mảnh vỡ > 20% mặt khớp) [1]
Sử dụng kỹ thuật mổ ORIF (theo Wagner)



Một vis và đinh Kirchner: mảnh gãy ít hơn 1/3 mặt khớp
Hai vis hoặc kết hợp 2 vis và 1 đinh Kirchner: mảnh gãy chiếm hơn 1/3 mặt khớp
Điều trị sau phẫu thuật
-
Điều trị bảo tồn
– Bất động sau 4-6 tuần
– Kiểm tra Xquang định kỳ hàng tuần
– Tập vận động khớp đốt bàn ngón tay và khớp liên đốt gần
-
Nắn cố định trong
Bất động nẹp bột cho đỡ sưng nề, sau đó đặt nẹp nhựa
Rút đinh Kirchner sau 4-6 tuần và tập các bài tập gấp duỗi các khớp bàn tay + đối ngón một

Biến chứng
50% hoạt động hàng ngày cần dựa vào ngón cái để cầm nắm, điều này phụ thuộc vào sự toàn vẹn khớp thang – bàn. Khớp này cho phép ngón cái có sự đa dạng trong chuyển động: gấp, duỗi, dạng, khép… trong khi vẫn duy trì được sự ổn định cần thiết.
Với suy nghĩ này, một gãy Bennett không được điều trị đúng cách sẽ dẫn tới khớp thang bàn không ổn định, đau khớp, phạm vi hoạt động của khớp bị giảm dẫn đến chức năng tổng thể của bàn tay bị suy giảm rất nhiều.
Tài liệu tham khảo
- Metacarpal, Bennett fracture, K-wire fixation and nonoperative treatment – AO surgery reference
- Bài giảng gãy Bennett – Bs Lê Xuân Hùng – Khoa Ngoại Chấn Thương, bệnh viện đa khoa Quảng Nam
- Bennett Fractures – A review of management – Michael S. Guss, M.D., I. David Kaye, M.D., and Michael Rettig, M.D.
Bs. Nguyễn Hữu Tài
Hiệu chỉnh: Bs Lê Thị Thảo Hiền, Bs Phan Thị Nhật Nga
Y khoa Diễn đàn Y khoa, y tế sức khoẻ, kiến thức lâm sàng, chẩn đoán và điều trị, phác đồ, diễn đàn y khoa, hệ sinh thái y khoa online, mới nhất và đáng tin cậy.
