1/ Lời mở đầu
Lồng ngực hình thùng là một trong những dấu hiệu hình thái kinh điển thường được nhắc đến khi nói về bệnh phổi tắc nghẽn mạn tính (COPD), đặc biệt ở những bệnh nhân có thành phần khí phế thũng (tình trạng các phế nang bị giãn rộng vĩnh viễn và phá hủy vách phế nang) [2].
Cần lưu ý rằng trong thực hành hiện nay, lồng ngực hình thùng không còn xuất hiện thường xuyên như mô tả trong các sách cổ điển do bệnh được phát hiện và kiểm soát sớm hơn, vì vậy đây chỉ là một dấu hiệu gợi ý chứ không mang tính đặc hiệu.
Thuật ngữ này mô tả sự thay đổi hình dạng lồng ngực khi đường kính trước – sau tăng lên, làm ngực tròn hơn so với bình thường. Ở người khỏe mạnh, đường kính ngang của lồng ngực lớn hơn rõ rệt so với đường kính trước – sau; tuy nhiên, ở bệnh nhân COPD tiến triển, sự mất cân bằng này dần biến mất do tình trạng ứ khí kéo dài trong phổi [2][4].

Hình minh họa sự khác biệt giữa lồng ngực bình thường và lồng ngực hình thùng.
Nguồn: Bickley LS. Bates’ Guide to Physical Examination and History Taking, Wolters Kluwer; Radiopaedia.org (Barrel chest illustration).
2/ Cơ chế hình thành lồng ngực hình thùng
Cơ chế hình thành lồng ngực hình thùng trong COPD bắt nguồn từ sự thay đổi kéo dài ở cả cấu trúc nhu mô phổi lẫn cơ học hô hấp. Dưới tác động của khói thuốc lá hoặc các yếu tố gây viêm mạn tính, đường thở nhỏ bị phù nề, tăng tiết nhầy và xơ hóa. Song song đó, sự mất cân bằng giữa các enzym phá hủy mô và cơ chế bảo vệ, điển hình như hoạt động tăng của elastase, dẫn đến phá hủy vách phế nang và làm giảm tính đàn hồi của phổi theo thời gian. [4].
Khi cấu trúc đàn hồi của phổi bị suy giảm, lực co hồi sinh lý vốn giúp tống không khí ra ngoài trong thì thở ra trở nên yếu đi. Kết quả là các tiểu phế quản dễ xẹp sớm trong thì thở ra, làm không khí bị giữ lại trong phế nang, tạo nên hiện tượng bẫy khí [2]. Theo thời gian, lượng khí cặn chức năng tăng lên, thể tích phổi ở cuối thì thở ra luôn cao hơn bình thường và phổi rơi vào trạng thái giãn mạn tính.
Nói đơn giản, trong COPD phổi bị viêm lâu ngày và mất độ đàn hồi nên khi thở ra, không khí không thoát hết mà bị giữ lại bên trong. Lâu dần phổi luôn ở trạng thái “căng phồng”, giống như đang hít vào liên tục. Chính tình trạng ứ khí này làm lồng ngực nở tròn ra và tạo thành lồng ngực hình thùng.

Nguồn: Radiopaedia.org – COPD with marked lung hyperinflation, case courtesy of Dr. Frank Gaillard.
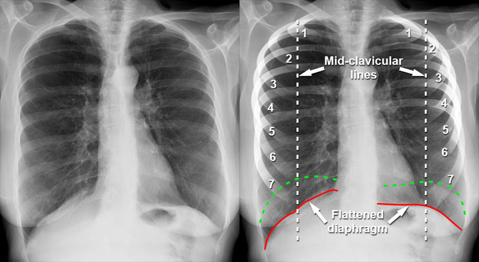
3/ Tác động của tăng thể tích phổi lên cơ hoành và cấu trúc lồng ngực
Sự tăng thể tích phổi kéo dài này gây ra hàng loạt thay đổi về hình thái lồng ngực [3]. Cơ hoành, vốn có dạng vòm để tối ưu hóa lực co cơ, bị đẩy xuống thấp và trở nên dẹt hơn do phổi luôn ở trạng thái “căng”.

Nguồn: Radiopaedia.org – COPD with hyperinflation and flattened diaphragm (case illustration).
Khi cơ hoành mất đi độ cong sinh lý, hiệu quả co bóp giảm rõ rệt, buộc bệnh nhân phải huy động thêm các cơ hô hấp phụ ở cổ và vai để duy trì thông khí. Đồng thời, các xương sườn dần nằm ngang hơn thay vì chếch xuống dưới như bình thường, làm tăng đường kính trước – sau của lồng ngực [3]. Lồng ngực vì thế trông giống như đang giữ ở tư thế hít vào liên tục, tạo nên hình ảnh đặc trưng của lồng ngực hình thùng.
Những thay đổi này không chỉ mang tính thẩm mỹ hay hình thể mà còn phản ánh sự suy giảm đáng kể của cơ học hô hấp. Khi phổi mất tính đàn hồi và cơ hoành hoạt động kém hiệu quả, công thở của bệnh nhân tăng lên rõ rệt; mỗi nhịp thở đòi hỏi nhiều năng lượng hơn để duy trì thông khí cơ bản.
Điều này giải thích vì sao người bệnh COPD có lồng ngực hình thùng thường than mệt, khó thở khi gắng sức và phải thở chậm, kéo dài thì thở ra để hạn chế bẫy khí thêm. Như vậy, lồng ngực hình thùng thực chất là biểu hiện bên ngoài của quá trình tái cấu trúc phổi kéo dài, phản ánh sự thích nghi không hoàn toàn của hệ hô hấp trước tình trạng tắc nghẽn mạn tính [2].
4/ Các dấu hiệu gợi ý
Trên lâm sàng, lồng ngực hình thùng thường đi kèm với các dấu hiệu khác như vai nâng cao, khoảng liên sườn giãn rộng, giảm di động thành ngực và âm phế nang giảm khi nghe phổi [1][2].
Tuy nhiên, không phải mọi bệnh nhân COPD đều có đặc điểm này. Ở giai đoạn sớm hoặc ở những người có kiểu hình viêm phế quản mạn chiếm ưu thế, hình dạng lồng ngực có thể vẫn gần như bình thường. Vì vậy, dấu hiệu lồng ngực hình thùng chỉ mang tính gợi ý và cần được đặt trong bối cảnh toàn diện của bệnh sử, khám thực thể và đặc biệt là đo chức năng hô hấp với tỉ lệ FEV1/FVC giảm để xác định tình trạng tắc nghẽn [2].
5/ Kết luận
Tóm lại, lồng ngực hình thùng không chỉ là một thay đổi về hình dáng bên ngoài mà còn phản ánh quá trình tiến triển lâu dài của COPD, đặc biệt khi phổi mất tính đàn hồi và xảy ra bẫy khí mạn tính [1]. Dấu hiệu này giúp gợi ý mức độ ảnh hưởng của bệnh lên cơ học hô hấp, nhưng không phải lúc nào cũng xuất hiện và cũng không đủ để chẩn đoán nếu đứng riêng lẻ.
Việc đánh giá bệnh nhân cần dựa trên cái nhìn toàn diện, kết hợp bệnh sử, khám lâm sàng và đo chức năng hô hấp để xác định mức độ tắc nghẽn [4]. Hiểu rõ cơ chế hình thành lồng ngực hình thùng không chỉ giúp nhận diện tốt hơn trong thực hành mà còn nhấn mạnh tầm quan trọng của việc phát hiện sớm, kiểm soát yếu tố nguy cơ và điều trị COPD nhằm hạn chế những biến đổi cấu trúc phổi không hồi phục theo thời gian.
———————————
Nguồn tài liệu tham khảo:
1/ Bộ Y tế. (2020). Hướng dẫn chẩn đoán và điều trị bệnh phổi tắc nghẽn mạn tính (COPD). Nhà xuất bản Y học.
2/ Global Initiative for Chronic Obstructive Lung Disease. (2024). Global strategy for the diagnosis, management, and prevention of chronic obstructive pulmonary disease (2024 report).
3/ Patel, N. (2024). An update on COPD prevention, diagnosis, and management: The 2024 GOLD report. The Nurse Practitioner, 49(6), 29–36.
4/ Agustí, A., Melén, E., DeMeo, D. L., Breyer-Kohansal, R., & Faner, R. (2022). Pathogenesis of chronic obstructive pulmonary disease: Understanding gene–environment interactions. The Lancet Respiratory Medicine, 10(5), 512–524.
Y khoa Diễn đàn Y khoa, y tế sức khoẻ, kiến thức lâm sàng, chẩn đoán và điều trị, phác đồ, diễn đàn y khoa, hệ sinh thái y khoa online, mới nhất và đáng tin cậy.
