1/ Lời mở đầu
Trong cơ thể con người, quá trình hô hấp không chỉ đơn thuần là đưa không khí vào và ra khỏi phổi, mà còn là sự phối hợp chặt chẽ giữa hai yếu tố quan trọng: thông khí và tưới máu. Sự tương thích giữa hai quá trình này quyết định hiệu quả trao đổi khí, đảm bảo cung cấp oxy cho mô và thải carbon dioxide ra ngoài. Khái niệm tỷ lệ thông khí – tưới máu (V/Q) ra đời nhằm mô tả mối quan hệ đó, đồng thời giúp giải thích nhiều rối loạn hô hấp thường gặp trong lâm sàng [1].

2/ Tỷ lệ thông khí và tưới máu
2.1. Shunt (V/Q ≈ 0)
Shunt là tình trạng máu vẫn đi qua phổi nhưng không có không khí vào phế nang. Nói đơn giản, phế nang giống như một “cái túi” bị đóng kín hoặc bị lấp đầy, trong trường hợp này khí không vào được. Khi đó, máu đi ngang qua nhưng không lấy được oxy và cũng không thải được CO₂.
Về mặt sinh lý, thành phần khí trong máu gần như không thay đổi khi đi qua vùng này, nên máu rời phổi vẫn nghèo oxy. Khi hòa trộn với máu đã được oxy hóa từ các vùng khác, sẽ làm giảm nồng độ oxy chung của máu động mạch [2]. Như vậy, bản chất của shunt là mất hoàn toàn chức năng trao đổi khí do thiếu thông khí tại đơn vị phế nang – mao mạch.

2.2. Bình thường (V/Q ≈ 0,8)
Ở trạng thái bình thường, phế nang được thông khí tốt và đồng thời được tưới máu đầy đủ, tạo điều kiện tối ưu cho quá trình trao đổi khí. Oxy từ không khí khuếch tán vào máu, còn CO₂ từ máu được thải ra ngoài qua phế nang [3]. Tỷ lệ V/Q trung bình khoảng 0,8 phản ánh sự cân bằng tương đối giữa thông khí và tưới máu. Mặc dù sự phân bố trong phổi không hoàn toàn đồng đều, sự cân bằng tổng thể vẫn đảm bảo cung cấp đủ oxy cho cơ thể và duy trì hoạt động sống.

2.3. Khoảng chết (V/Q → ∞)
Khoảng chết là tình trạng phế nang vẫn được thông khí nhưng không có máu tưới qua, khiến không khí vào phổi nhưng không tham gia vào quá trình trao đổi khí. Do thiếu dòng máu, oxy không được hấp thu vào tuần hoàn và CO₂ cũng không được thải ra ngoài tại vùng này [3]. Hệ quả là một phần thông khí trở nên lãng phí, làm giảm hiệu quả hô hấp chung của cơ thể.
Về mặt sinh lý, khí trong các phế nang này có xu hướng gần giống với không khí hít vào (giàu O₂, rất ít CO₂) do không có sự trao đổi với máu. Để bù trừ, cơ thể phải tăng thông khí ở các vùng phổi còn hoạt động, dẫn đến tăng công hô hấp. Như vậy, bản chất của khoảng chết là mất chức năng trao đổi khí do thiếu tưới máu tại đơn vị phế nang – mao mạch, dù thông khí vẫn diễn ra bình thường [4].

3/ Các bệnh lý liên quan điển hình
Các bệnh lý liên quan đến V/Q có thể được hiểu đơn giản là rối loạn ở một trong hai yếu tố: thông khí hoặc tưới máu. Nhóm V/Q giảm thường liên quan đến các bệnh làm tổn thương phế nang hoặc đường thở, trong khi nhóm V/Q tăng liên quan đến các vấn đề về tuần hoàn phổi [4].
3.1. Nhóm V/Q giảm (Shunt)
Nhóm này bao gồm các bệnh lý làm giảm hoặc mất thông khí tại phế nang, khiến vùng phổi đó không còn tham gia hiệu quả vào trao đổi khí.
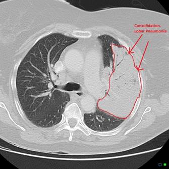
Viêm phổi: phế nang bị lấp đầy bởi dịch viêm, vi khuẩn và tế bào miễn dịch. Hình ảnh thường thấy là đông đặc phổi. Lâm sàng biểu hiện sốt, ho, khạc đàm, đau ngực kiểu màng phổi và khó thở [1]. Mức độ ảnh hưởng phụ thuộc vào diện tích phổi bị tổn thương.

Phù phổi: dịch từ mao mạch tràn vào phế nang. Trong phù phổi do tim, nguyên nhân là tăng áp lực mao mạch phổi; trong khi ở phù phổi không do tim, nguyên nhân là tổn thương màng phế nang – mao mạch [3]. Bệnh nhân thường khó thở dữ dội, có thể có ran ẩm hai bên phổi và giảm oxy máu nhanh.
Xẹp phổi: xảy ra khi phế nang mất thể tích khí và bị xẹp lại. Có thể gặp sau phẫu thuật, do giảm thông khí, hoặc do tắc nghẽn đường thở. Trên X-quang có thể thấy vùng mờ kèm kéo lệch cấu trúc lân cận. Triệu chứng thường là khó thở và giảm thông khí vùng tương ứng.
Tắc nghẽn đường thở: (đàm, dị vật, co thắt phế quản) cũng là nguyên nhân quan trọng. Trong hen phế quản nặng, các nút nhầy có thể gây tắc từng vùng phổi, làm xuất hiện các vùng shunt khu trú.

3.2. Nhóm bệnh lý V/Q tăng (Khoảng chết)
Nhóm này bao gồm các bệnh lý làm giảm hoặc mất tưới máu phổi, trong khi thông khí vẫn được duy trì tương đối bình thường. Điểm chung là các phế nang vẫn nhận được không khí, nhưng do thiếu dòng máu đi qua nên hiệu quả trao đổi khí giảm rõ rệt [3].
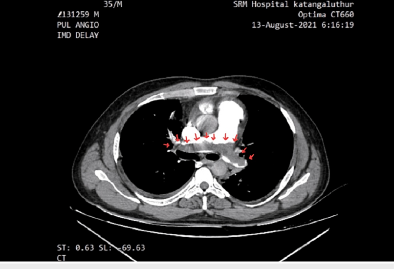
Nhóm thuyên tắc phổi: trong tình trạng này, cục máu đông thường xuất phát từ hệ tĩnh mạch sâu (như tĩnh mạch chi dưới), sau đó di chuyển lên phổi và làm tắc một phần hoặc toàn bộ động mạch phổi. Mức độ biểu hiện lâm sàng phụ thuộc vào kích thước và vị trí của huyết khối. Bệnh nhân thường xuất hiện khó thở đột ngột, đau ngực kiểu màng phổi (tăng khi hít sâu), nhịp tim nhanh và có thể ho ra máu nếu có tổn thương nhu mô phổi [4]. Trong các trường hợp nặng, có thể xảy ra tụt huyết áp, suy tuần hoàn và nguy cơ tử vong cao nếu không được xử trí kịp thời.
![Rối loạn thông khí – tưới máu (V/Q): Phân tích cơ chế shunt, khoảng chết và các bệnh lý liên quan Hình CT cho thấy vùng khuyết thuốc trong động mạch phổi (mũi tên đỏ), biểu hiện của cục máu đông. Điều này làm cản trở dòng máu đến phổi → điển hình cho thuyên tắc phổi.
Nguồn: Abdo, Y. (n.d.). Computed tomography pulmonary embolism (CTPE) showing pulmonary artery embolus [Figure]. Researchgate](https://ykhoa.org/wp-content/uploads/2026/04/image-7.png)
Nhóm giảm cung lượng tim: gặp trong suy tim nặng hoặc sốc tim. Khi tim không bơm đủ máu lên phổi, lượng máu đến mao mạch phổi giảm đáng kể. Mặc dù không khí vẫn vào phế nang, nhưng do thiếu dòng máu mang CO₂ đến, quá trình thải CO₂ bị hạn chế [3]. Bệnh nhân thường biểu hiện mệt mỏi, khó thở, thở nhanh và có thể kèm dấu hiệu suy tuần hoàn như huyết áp thấp, lạnh đầu chi.
Ngoài ra, các rối loạn tuần hoàn phổi khác cũng có thể gây tình trạng tương tự, chẳng hạn như co mạch phổi lan tỏa hoặc tăng áp lực trong hệ mạch phổi. Những tình trạng này làm phân bố máu trong phổi không đồng đều, tạo ra các vùng phế nang “không được sử dụng”. Kết quả là khoảng chết sinh lý tăng lên, buộc cơ thể phải tăng thông khí để duy trì cân bằng khí máu.
4/ Kết luận
Tỷ lệ thông khí – tưới máu (V/Q) là yếu tố cốt lõi quyết định hiệu quả trao đổi khí của phổi. Khi sự phối hợp giữa thông khí và tưới máu bị rối loạn, sẽ hình thành các trạng thái bệnh lý điển hình như shunt (V/Q giảm) và khoảng chết (V/Q tăng), từ đó ảnh hưởng trực tiếp đến quá trình oxy hóa máu.
Các bệnh lý liên quan cho thấy rằng, dù là do tổn thương phế nang làm giảm thông khí hay do rối loạn tuần hoàn làm giảm tưới máu, hậu quả chung đều là giảm hiệu quả hô hấp và rối loạn khí máu. Đồng thời, trong nhiều trường hợp, cơ thể có thể bù trừ nhờ các vùng phổi còn hoạt động bình thường, nhưng khi tổn thương lan rộng hoặc nặng lên, khả năng bù trừ này sẽ không còn hiệu quả.
———————————————-
Nguồn tài liệu tham khảo:
1/ Bộ môn Sinh lý học – Đại học Y Hà Nội. (2021). Sinh lý học (Tập 1). Nhà xuất bản Y học.
2/ Bộ Y tế. (2020). Hướng dẫn chẩn đoán và điều trị một số bệnh hô hấp. Nhà xuất bản Y học.
3/ Guyton and Hall Textbook of Medical Physiology. (2021). Elsevier.
4/ West’s Respiratory Physiology: The Essentials. (2021). Wolters Kluwer.
5/ StatPearls Publishing. (2023). Ventilation-Perfusion Mismatch. In StatPearls. Retrieved April 4, 2026
Y khoa Diễn đàn Y khoa, y tế sức khoẻ, kiến thức lâm sàng, chẩn đoán và điều trị, phác đồ, diễn đàn y khoa, hệ sinh thái y khoa online, mới nhất và đáng tin cậy.
