Trong thời gian gần đây, thông tin về virus Nipah khiến nhiều người không khỏi lo lắng. Điều đáng nói là ở giai đoạn đầu, bệnh do virus Nipah gây ra không có biểu hiện rầm rộ, thậm chí rất dễ bị nhầm lẫn với cảm cúm thông thường. Chính sự giống cúm này lại là yếu tố khiến người bệnh chủ quan, vô tình bỏ qua thời điểm vàng để được theo dõi và xử trí kịp thời [1].

1/ Sơ lược về virus Nipah:
Thông thường, người nhiễm virus Nipah khởi phát với các triệu chứng quen thuộc như sốt, đau đầu, mệt mỏi, đau nhức cơ và đôi khi kèm buồn nôn hoặc nôn [1]. Đây đều là những biểu hiện rất phổ biến trong đời sống hằng ngày, đặc biệt khi thời tiết thay đổi hoặc cơ thể suy nhược. Vì vậy, không ít người lựa chọn tự uống thuốc hạ sốt, nghỉ ngơi tại nhà và cho rằng chỉ là một đợt cảm cúm nhẹ.
Tuy nhiên, điểm nguy hiểm của virus Nipah nằm ở chỗ bệnh có thể diễn tiến nặng rất nhanh. Sau giai đoạn khởi phát tưởng chừng đơn giản, virus có khả năng tấn công hệ thần kinh trung ương và gây viêm não cấp. Khi đó, người bệnh bắt đầu xuất hiện các dấu hiệu bất thường như đau đầu dữ dội, lơ mơ, buồn ngủ nhiều, rối loạn ý thức, nói khó, thậm chí co giật hoặc hôn mê. Một số trường hợp còn kèm theo khó thở do tổn thương phổi. Đây chính là những dấu hiệu cảnh báo nghiêm trọng, cho thấy bệnh không còn đơn thuần là cúm [3][5].
2/ So sánh cảm cúm thông thường và cúm do virus Nipah:
So với cúm mùa thông thường, virus Nipah được xem là nguy hiểm hơn rất nhiều do phạm vi và mức độ tổn thương mà virus gây ra trong cơ thể. Nếu như cúm mùa chủ yếu ảnh hưởng đến đường hô hấp trên và thường có diễn tiến lành tính ở đa số người khỏe mạnh, thì virus Nipah lại có khả năng tấn công đồng thời nhiều cơ quan quan trọng, đặc biệt là não và hệ mạch máu, những cấu trúc đóng vai trò sống còn đối với sự sống.
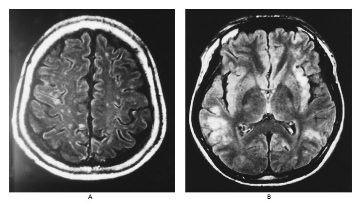
Sau khi xâm nhập vào cơ thể, virus Nipah không chỉ nhân lên tại đường hô hấp mà còn xâm nhập vào các tế bào nội mô mạch máu [3]. Đây là lớp tế bào lót bên trong thành mạch, có nhiệm vụ điều hòa lưu thông máu và bảo vệ các cơ quan. Khi bị virus tấn công, các mạch máu nhỏ, đặc biệt là ở não, sẽ bị viêm lan tỏa. Tình trạng viêm này làm tăng tính thấm thành mạch, khiến dịch thoát ra ngoài mô, từ đó gây phù não [3], [5].
Phù não là một biến chứng cực kỳ nguy hiểm vì não nằm trong hộp sọ kín, không có không gian giãn nở. Khi thể tích não tăng lên do phù, áp lực nội sọ sẽ tăng nhanh, làm chèn ép các trung tâm thần kinh quan trọng. Hậu quả là người bệnh có thể xuất hiện rối loạn ý thức, co giật, liệt, hôn mê, thậm chí ngừng hô hấp và tử vong trong thời gian ngắn nếu không được can thiệp kịp thời [3].
Nói một cách đơn giản, Virus Nipah sau khi vào cơ thể sẽ tấn công mạch máu, nhất là mạch máu ở não. Khi mạch máu bị viêm, dịch sẽ rò rỉ ra ngoài, làm não bị sưng (phù não). Não nằm trong hộp sọ kín nên khi bị sưng sẽ bị ép chặt, làm tăng áp lực trong đầu. Vì vậy người bệnh có thể lơ mơ, co giật, hôn mê, thậm chí tử vong rất nhanh nếu không cấp cứu kịp thời.

Nguồn: American Journal of Roentgenology (AJR) – MR imaging features of Nipah encephalitis.
Không dừng lại ở tổn thương cấp tính, virus Nipah còn gây rối loạn chức năng thần kinh kéo dài. Ngay cả những bệnh nhân sống sót sau giai đoạn nguy kịch vẫn có nguy cơ cao phải đối mặt với các di chứng như giảm trí nhớ, rối loạn hành vi, yếu liệt tay chân hoặc động kinh mạn tính [4]. Điều này cho thấy mức độ phá hủy của virus không chỉ là tạm thời mà có thể để lại hậu quả lâu dài, ảnh hưởng nghiêm trọng đến chất lượng cuộc sống.
3/ Nguồn lây và cách phòng chống:
Về nguồn lây, virus Nipah có ổ chứa tự nhiên là dơi ăn quả [1][4]. Con người có thể nhiễm virus khi ăn thực phẩm hoặc trái cây bị nhiễm dịch tiết của dơi, hoặc tiếp xúc gần với người mắc bệnh, đặc biệt trong môi trường gia đình và cơ sở y tế. Dù vậy, cần nhấn mạnh rằng Nipah là bệnh hiếm gặp và không phải cứ sốt hay đau đầu là mắc Nipah. Điều quan trọng là nhận biết đúng các dấu hiệu bất thường để không chủ quan.
Trong sinh hoạt hằng ngày, người dân nên chú ý ăn chín uống sôi, rửa sạch trái cây, không sử dụng thực phẩm có dấu hiệu bị động vật gặm nhấm. Khi xuất hiện sốt kèm đau đầu dữ dội, lơ mơ hoặc khó thở, cần đến cơ sở y tế để được thăm khám kịp thời, thay vì tự điều trị tại nhà hoặc tin vào những thông tin chưa được kiểm chứng [2].

Tóm lại, không phải mọi cơn sốt hay đau đầu đều là dấu hiệu của virus Nipah. Tuy nhiên, khi các triệu chứng này đi kèm với rối loạn ý thức hoặc biểu hiện thần kinh, người bệnh tuyệt đối không nên xem nhẹ. Hiểu đúng, nhận biết sớm và hành động kịp thời chính là cách tốt nhất để bảo vệ bản thân và cộng đồng trước những mối nguy sức khỏe tiềm ẩn.
——–
Nguồn tài liệu tham khảo:
- VietnamNet. (2026). Virus Nipah lây truyền bằng con đường nào, biểu hiện ra sao?
- VOV2 – Đài Tiếng nói Việt Nam. (2026). 5 biện pháp phòng ngừa dịch bệnh do virus
- Hassan, M. Z. (2025). Interpreting the natural history and pathogenesis of Nipah virus disease: A review. The Lancet Microbe.
- Ali, M. A. (2025). Nipah virus outbreak in Bangladesh: An enduring zoonotic threat. PMC Research Archive.
- Madhukalya, R. (2025). Nipah virus: Pathogenesis, genome, diagnosis, and treatment. Applied Microbiology Reviews.
Y khoa Diễn đàn Y khoa, y tế sức khoẻ, kiến thức lâm sàng, chẩn đoán và điều trị, phác đồ, diễn đàn y khoa, hệ sinh thái y khoa online, mới nhất và đáng tin cậy.
