1. Định nghĩa khuẩn hệ âm đạo
Khuẩn hệ âm đạo là tập hợp các vi sinh vật (chủ yếu là vi khuẩn, ngoài ra còn có nấm và virus với mật độ thấp) cư trú thường xuyên trong âm đạo người phụ nữ. Đây là một hệ sinh thái mở, có khả năng thay đổi theo tuổi, nội tiết, tình trạng sinh lý (chu kỳ kinh nguyệt, thai kỳ, hậu sản) và các yếu tố ngoại lai như tình dục, thuốc kháng sinh hay thói quen vệ sinh [1], [2].

2. Thành phần của khuẩn hệ âm đạo bình thường
2.1. Vai trò trung tâm của Lactobacillus
Ở phụ nữ khỏe mạnh trong độ tuổi sinh sản, khuẩn hệ âm đạo thường được chi phối bởi các loài Lactobacillus, đặc biệt là L. crispatus, L. gasseri, L. jensenii và L. iners [3]. Các vi khuẩn này có khả năng:
- Lên men glycogen từ tế bào biểu mô âm đạo thành acid lactic
- Duy trì pH âm đạo ở mức acid (khoảng 3,8–4,5)
- Ức chế sự phát triển của vi khuẩn gây bệnh
Tài liệu cốt lõi cho thấy Lactobacillus hiện diện với mật độ cao (10⁷–10⁹ CFU/g dịch âm đạo) và được xem là yếu tố bảo vệ chính của môi trường âm đạo.

2.2. Các vi sinh vật khác
Ngoài Lactobacillus, âm đạo có thể chứa các vi khuẩn kỵ khí và hiếu khí với số lượng thấp như Gardnerella vaginalis, Atopobium vaginae, Mobiluncus spp., Prevotella spp., Streptococcus và Staphylococcus. Khi các vi khuẩn này phát triển quá mức và Lactobacillus suy giảm, trạng thái mất cân bằng (dysbiosis) có thể xảy ra [4].
3. Các trạng thái khuẩn hệ âm đạo (Community State Types – CST)
Nghiên cứu hệ gen vi sinh (microbiome) đã phân loại khuẩn hệ âm đạo thành các nhóm CST:
- CST I: ưu thế L. crispatus
- CST II: ưu thế L. gasseri
- CST III: ưu thế L. iners
- CST V: ưu thế L. jensenii
- CST IV: thiếu Lactobacillus, đa dạng vi khuẩn kỵ khí

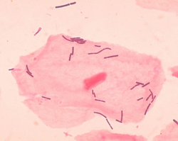
Điểm Nugent (Nugent, 1991) là hệ thống chấm điểm dựa trên nhuộm Gram dịch âm đạo. Điểm Nugent được tính căn cứ trên:
1. Sự hiện diện của các vi khuẩn hình que lớn (Lactobacillus): hiện diện càng nhiều thì điểm càng nhỏ, từ 0-4
2. Sự hiện diện của các vi khuẩn hình que nhỏ (Gardnerella vaginalis), từ 0-4
3. Sự hiện diện của vi khuẩn hình que cong (Mobiluncus spp), từ 0-2
Tổng (1)+(2)+(3) gọi là điểm Nugent, có thể là từ 0 đến 10. [1]
Trong đó, CST I, II, III và V thường liên quan đến trạng thái khỏe mạnh, còn CST IV có liên quan chặt chẽ đến viêm âm đạo do vi khuẩn (BV) và tăng nguy cơ bệnh lý phụ khoa [5].
4. Chức năng sinh lý của khuẩn hệ âm đạo
4.1. Duy trì pH và hàng rào sinh học
Lactobacillus sản xuất acid lactic (dạng D- và L-lactic acid), giúp duy trì pH thấp, tạo môi trường bất lợi cho vi khuẩn gây bệnh và nấm men [6].
4.2. Sản xuất các chất kháng khuẩn
Ngoài acid lactic, Lactobacillus còn sản xuất hydrogen peroxide (H₂O₂), bacteriocin và biosurfactant, góp phần ức chế sự bám dính và phát triển của vi sinh vật gây bệnh [7].
4.3. Điều hòa miễn dịch tại chỗ
Khuẩn hệ âm đạo tương tác với hệ miễn dịch niêm mạc thông qua tế bào biểu mô, đại thực bào và tế bào tua (dendritic cells), giúp điều hòa phản ứng viêm và duy trì trạng thái dung nạp miễn dịch [8].
5. Các yếu tố ảnh hưởng đến khuẩn hệ âm đạo
Nội tiết tố: Estrogen làm tăng lắng đọng glycogen, thuận lợi cho Lactobacillus phát triển
Tuổi và giai đoạn sinh lý: trẻ em, phụ nữ mãn kinh thường có pH âm đạo cao hơn
Thai kỳ: khuẩn hệ thường ổn định hơn, ưu thế Lactobacillus
Kháng sinh và thuốc đặt âm đạo
Hoạt động tình dục và thói quen vệ sinh [2], [9]
6. Ý nghĩa lâm sàng
Sự mất cân bằng khuẩn hệ âm đạo liên quan đến nhiều bệnh lý như viêm âm đạo do vi khuẩn, nhiễm nấm Candida, nhiễm trùng lây truyền qua đường tình dục, cũng như tăng nguy cơ sinh non, vỡ ối sớm và nhiễm trùng ối trong thai kỳ [10]. Do đó, hiểu biết đúng về khuẩn hệ âm đạo là nền tảng quan trọng trong thực hành sản phụ khoa hiện đại.
Tài liệu tham khảo:
[1] Phạm Thanh Hoàng, Ngô Thị Bình Lụa, Tô Mai Xuân Hồng, Âu Như Luân. (n.d.). Khái niệm về khuẩn hệ âm đạo. Khuẩn hệ âm đạo bình thường. Chức năng sinh lý của khuẩn hệ âm đạo. Tài liệu giảng dạy. [2] Ravel, J., et al. (2011). Vaginal microbiome of reproductive-age women. Proceedings of the National Academy of Sciences, 108(Suppl 1), 4680–4687. https://doi.org/10.1073/pnas.1002611107 [3] Ma, B., et al. (2012). Vaginal microbiome: rethinking health and disease. Annual Review of Microbiology, 66, 371–389. https://doi.org/10.1146/annurev-micro-092611-150157 [4] Martin, D. H. (2012). The microbiota of the vagina and its influence on women’s health and disease. American Journal of the Medical Sciences, 343(1), 2–9. [5] Muzny, C. A., & Schwebke, J. R. (2016). Pathogenesis of bacterial vaginosis: discussion of current hypotheses. Journal of Infectious Diseases, 214(Suppl 1), S1–S5. [6] Ravel, J., & Brotman, R. M. (2016). Translating the vaginal microbiome: gaps and challenges. Genome Medicine, 8, 35. [7] Boskey, E. R., et al. (2001). Origins of vaginal acidity: high D/L lactate ratio is consistent with bacteria being the primary source. Human Reproduction, 16(9), 1809–1813. [8] O’Hanlon, D. E., Moench, T. R., & Cone, R. A. (2013). Vaginal pH and microbicidal lactic acid when lactobacilli dominate the microbiota. PLoS ONE, 8(11), e80074. [9] Anahtar, M. N., et al. (2015). Cervicovaginal bacteria are a major modulator of host inflammatory responses in the female genital tract. Immunity, 42(5), 965–976. [10] Brotman, R. M. (2011). Vaginal microbiome and sexually transmitted infections: an epidemiologic perspective. Journal of Clinical Investigation, 121(12), 4610–4617. [11] Romero, R., et al. (2014). The vaginal microbiota and pregnancy outcomes. American Journal of Obstetrics and Gynecology, 210(6), 467–480.Tác giả: Lê Thị Thảo Hiền.
Hiệu đính: Nguyễn Hữu Tài, Phạm Văn Hòa.
Y khoa Diễn đàn Y khoa, y tế sức khoẻ, kiến thức lâm sàng, chẩn đoán và điều trị, phác đồ, diễn đàn y khoa, hệ sinh thái y khoa online, mới nhất và đáng tin cậy.
