1/ Viêm phổi thùy là gì?
Viêm phổi thùy là một thể viêm phổi cấp tính đặc trưng bởi tình trạng viêm lan tỏa gần như toàn bộ một thùy phổi [1]. Đây là một dạng viêm phổi kinh điển trong bệnh học hô hấp và thường do vi khuẩn gây ra, phổ biến nhất là Streptococcus pneumoniae. Bệnh thường khởi phát đột ngột với biểu hiện lâm sàng rõ ràng và có những thay đổi đặc trưng về mặt giải phẫu bệnh.

2/ Nguyên nhân và triệu chứng
Viêm phổi thùy chủ yếu do vi khuẩn xâm nhập vào phổi thông qua đường hô hấp. Tác nhân thường gặp nhất là Streptococcus pneumoniae, ngoài ra còn có thể gặp các vi khuẩn khác như Klebsiella pneumoniae, Staphylococcus aureus hoặc một số vi khuẩn Gram âm [2]. Những yếu tố như suy giảm miễn dịch, tuổi cao, bệnh mạn tính, hút thuốc lá hoặc nhiễm virus đường hô hấp trước đó có thể làm tăng nguy cơ mắc bệnh.
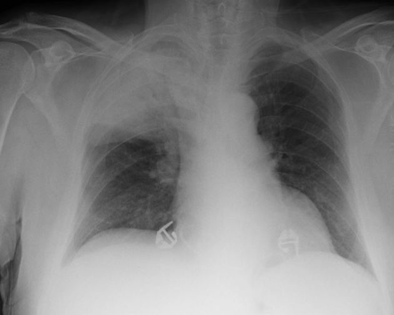
Về triệu chứng lâm sàng, bệnh thường khởi phát đột ngột với sốt cao, rét run, đau ngực kiểu màng phổi và ho. Người bệnh có thể ho ra đờm đặc, đôi khi có màu gỉ sắt do chứa hồng cầu. Khám lâm sàng có thể phát hiện các dấu hiệu đông đặc phổi như rung thanh tăng, gõ đục và nghe phổi có ran nổ. Trên X-quang ngực, viêm phổi thùy thường biểu hiện bằng hình ảnh đông đặc đồng nhất của một thùy phổi – là dấu hiệu khá đặc trưng giúp hỗ trợ chẩn đoán [2].

Nếu không được điều trị kịp thời, viêm phổi thùy có thể dẫn đến các biến chứng như tràn dịch màng phổi, áp xe phổi, nhiễm khuẩn huyết hoặc suy hô hấp [5]. Tuy nhiên, với việc sử dụng kháng sinh phù hợp và chăm sóc y tế đầy đủ, phần lớn bệnh nhân có thể hồi phục hoàn toàn.
3/ Cơ chế bệnh sinh
Quá trình này khởi đầu khi vi khuẩn xâm nhập vào phế nang, vượt qua các cơ chế bảo vệ của phổi, từ đó kích hoạt phản ứng viêm mạnh tại chỗ. Hệ quả là dịch viêm và tế bào miễn dịch tích tụ trong phế nang, làm cản trở trao đổi khí và dần dẫn đến hiện tượng đông đặc phổi đặc trưng trên lâm sàng và hình ảnh học.
Vi khuẩn xâm nhập và đi qua hàng rào phổi
Trong Viêm phổi thùy, quá trình bệnh sinh bắt đầu khi vi khuẩn gây bệnh xâm nhập vào đường hô hấp dưới và đến được các phế nang. Ở điều kiện bình thường, phổi có nhiều cơ chế bảo vệ như phản xạ ho, hệ thống lông chuyển của biểu mô hô hấp và các đại thực bào phế nang [4]. Tuy nhiên, khi số lượng vi khuẩn lớn hoặc sức đề kháng của cơ thể suy giảm, các cơ chế này không còn đủ khả năng loại bỏ vi khuẩn, tạo điều kiện để vi khuẩn nhân lên trong phế nang.
Kích hoạt phản ứng viêm tại phế nang
Sau khi vi khuẩn xâm nhập, hệ miễn dịch tại chỗ được kích hoạt mạnh mẽ. Các đại thực bào phế nang nhận diện vi khuẩn và giải phóng nhiều chất trung gian gây viêm như cytokine và chemokine. Những chất này có vai trò thu hút các tế bào miễn dịch khác, đặc biệt là bạch cầu trung tính, từ máu di chuyển đến vùng nhiễm trùng [3][5]. Đồng thời, các chất trung gian viêm cũng làm giãn mạch và tăng tính thấm của mao mạch phổi. Hậu quả là huyết tương, fibrin, bạch cầu và các thành phần viêm khác thoát ra khỏi lòng mạch và tràn vào trong phế nang.
Phế nang bị lấp đầy vào rối loạn trao đổi khí
Sự tích tụ của dịch viêm, fibrin và tế bào viêm trong lòng phế nang làm cho các phế nang vốn chứa đầy không khí bị lấp kín. Khi phế nang bị lấp đầy như vậy, quá trình trao đổi khí giữa không khí trong phế nang và máu trong mao mạch phổi bị cản trở nghiêm trọng. Điều này dẫn đến giảm oxy máu và gây ra các biểu hiện lâm sàng như khó thở, thở nhanh và tím tái trong những trường hợp nặng.

Lan truyền viêm trong cùng một thùy
Một đặc điểm quan trọng của viêm phổi thùy là sự lan truyền nhanh của phản ứng viêm giữa các phế nang trong cùng một thùy phổi. Các phế nang được nối với nhau qua các lỗ thông nhỏ như lỗ Kohn và các kênh Lambert, tạo điều kiện để vi khuẩn và quá trình viêm lan rộng nhanh chóng từ phế nang này sang phế nang khác [2]. Do đó, chỉ trong thời gian ngắn, toàn bộ một thùy phổi có thể bị ảnh hưởng.

Đông đặc phổi và hình thành gan hóa phổi
Khi quá trình viêm lan rộng và dịch viêm tích tụ ngày càng nhiều, nhu mô phổi trong thùy bị tổn thương sẽ trở nên đông đặc. Trên lâm sàng và hình ảnh học, vùng phổi này mất tính chứa khí và trở nên đặc giống mô gan, hiện tượng này thường được gọi là “gan hóa phổi” [5]. Chính sự đông đặc toàn bộ một thùy phổi này tạo nên hình ảnh điển hình và đặc trưng của viêm phổi thùy trên X-quang ngực cũng như trong giải phẫu bệnh.
Nói một cách đơn giản, trong Viêm phổi thùy, khi vi khuẩn (thường là Streptococcus pneumoniae) vào phế nang, cơ thể sẽ tạo phản ứng viêm để chống lại. Phản ứng này làm dịch viêm và bạch cầu tràn vào phế nang, khiến phế nang bị lấp đầy dịch thay vì chứa không khí. Vì các phế nang trong cùng một thùy thông với nhau, quá trình viêm lan nhanh sang các phế nang xung quanh, làm cả một thùy phổi bị đông đặc và giảm khả năng trao đổi khí.
4/ Các giai đoạn của bệnh
Trong giải phẫu bệnh, Viêm phổi thùy thường tiến triển qua bốn giai đoạn điển hình, phản ánh sự thay đổi dần dần của nhu mô phổi trong quá trình viêm.
Giai đoạn sung huyết
Đây là giai đoạn sớm nhất của bệnh, thường xảy ra trong khoảng 24 giờ đầu sau khi vi khuẩn xâm nhập phổi. Trong giai đoạn này, các mao mạch trong nhu mô phổi giãn rộng và chứa nhiều máu, làm cho vùng phổi bị viêm trở nên đỏ và nặng hơn bình thường [3]. Đồng thời, tính thấm của thành mạch tăng lên, khiến dịch phù và một lượng nhỏ vi khuẩn bắt đầu tràn vào phế nang. Tuy nhiên, các phế nang lúc này vẫn còn tương đối thông khí. Về đại thể, phổi mềm, ẩm và có màu đỏ sẫm.
Giai đoạn gan hóa đỏ
Sau giai đoạn sung huyết, bệnh tiến triển sang giai đoạn gan hóa đỏ, thường xảy ra vào ngày thứ 2–3 của bệnh. Lúc này, phản ứng viêm trở nên mạnh mẽ hơn. Trong lòng phế nang tích tụ nhiều hồng cầu, bạch cầu trung tính và fibrin, làm cho các phế nang bị lấp đầy hoàn toàn.
Do phế nang không còn chứa không khí, nhu mô phổi trở nên đặc và rắn chắc, có màu đỏ nâu và hình thái giống mô gan, vì vậy được gọi là “gan hóa đỏ”. Đây là giai đoạn điển hình của sự đông đặc phổi trong viêm phổi thùy [2][4].

Giai đoạn gan hóa xám
Giai đoạn này thường xuất hiện vào ngày thứ 3–5 của bệnh. Lúc này, các hồng cầu trong phế nang dần bị phá hủy và phân hủy, khiến màu đỏ của nhu mô phổi giảm đi. Tuy nhiên, trong lòng phế nang vẫn còn fibrin, bạch cầu và dịch viêm, làm cho nhu mô phổi vẫn ở trạng thái đông đặc [2]. Do sự giảm dần của hồng cầu và sự tồn tại của fibrin, phổi chuyển sang màu xám hoặc xám nhạt, đặc trưng cho giai đoạn gan hóa xám.

Giai đoạn hồi phục
Đây là giai đoạn cuối của quá trình bệnh, khi cơ thể bắt đầu loại bỏ các sản phẩm viêm trong phế nang. Các đại thực bào phế nang đóng vai trò quan trọng trong việc tiêu hóa fibrin, xác tế bào và các mảnh vụn viêm. Đồng thời, dịch viêm dần được hấp thu hoặc được tống ra ngoài qua đường hô hấp [4]. Nhờ vậy, cấu trúc của phế nang được phục hồi và phổi dần trở lại trạng thái bình thường, chức năng trao đổi khí được cải thiện. Nếu quá trình hồi phục diễn ra thuận lợi, nhu mô phổi có thể gần như trở lại bình thường mà không để lại tổn thương đáng kể.
5/ Kết luận
Tóm lại, viêm phổi thùy là một bệnh lý nhiễm trùng cấp tính của nhu mô phổi, thường do vi khuẩn (điển hình là Streptococcus pneumoniae) gây ra, với đặc trưng là tổn thương lan tỏa và gây đông đặc toàn bộ một thùy phổi. Quá trình bệnh diễn tiến tương đối điển hình qua bốn giai đoạn giải phẫu bệnh gồm: sung huyết, gan hóa đỏ, gan hóa xám và hồi phục, phản ánh sự thay đổi liên tục của phản ứng viêm trong phế nang. Chính sự tích tụ dịch viêm, fibrin và tế bào viêm trong lòng phế nang làm mất khả năng chứa khí của phổi, từ đó gây rối loạn trao đổi khí và biểu hiện lâm sàng như sốt, ho, khó thở.
Việc nhận biết sớm các dấu hiệu lâm sàng kết hợp với chẩn đoán hình ảnh (đặc biệt là X-quang ngực với hình ảnh đông đặc thùy điển hình) có ý nghĩa rất quan trọng trong thực hành lâm sàng. Điều trị kịp thời bằng kháng sinh phù hợp không chỉ giúp kiểm soát nhiễm trùng mà còn ngăn ngừa các biến chứng nặng như tràn dịch màng phổi, áp xe phổi hoặc suy hô hấp, từ đó cải thiện rõ rệt tiên lượng và giảm tỷ lệ tử vong cho người bệnh.
————————————————
Nguồn tài liệu tham khảo:
1/ Nguyễn Lân Việt, Phạm Nguyễn Vinh, & Nguyễn Quang Tuấn. (2020). Bệnh học nội khoa – Tập 1. Nhà xuất bản Y học.
2/ Trường Đại học Y Hà Nội. (2021). Bài giảng bệnh học hô hấp. Nhà xuất bản Y học.
3/ Kumar, V., Abbas, A. K., & Aster, J. C. (2021). Robbins & Cotran pathologic basis of disease (10th ed.). Elsevier.
4/ Murray, J. F., & Nadel, J. A. (2022). Murray & Nadel’s textbook of respiratory medicine (7th ed.). Elsevier.
5/ Metlay, J. P., Waterer, G. W., Long, A. C., Anzueto, A., Brozek, J., Crothers, K., … Whitney, C. G. (2019). Diagnosis and treatment of adults with community-acquired pneumonia. American Journal of Respiratory and Critical Care Medicine, 200(7), e45–e67
Y khoa Diễn đàn Y khoa, y tế sức khoẻ, kiến thức lâm sàng, chẩn đoán và điều trị, phác đồ, diễn đàn y khoa, hệ sinh thái y khoa online, mới nhất và đáng tin cậy.
