Xuất huyết não là tình trạng máu thoát ra khỏi lòng mạch và chảy vào trong sọ não, có thể nằm trong nhu mô não hoặc các khoang quanh não. Khi mạch máu bị vỡ, máu không còn lưu thông bình thường mà tràn ra ngoài, gây chèn ép nhu mô não và làm tổn thương trực tiếp các tế bào thần kinh [2].
1/ Cấu trúc giải phẫu ba lớp màng não

Ba lớp màng não bao bọc toàn bộ não gồm màng cứng, màng nhện và màng mềm
Màng cứng: Màng cứng là lớp ngoài cùng, dày, chắc và có cấu tạo đặc biệt gồm hai lá: lá ngoài dính chặt vào xương sọ và lá trong hướng vào não. Giữa hai lá này tạo thành các xoang tĩnh mạch màng cứng, có nhiệm vụ dẫn lưu máu tĩnh mạch của não
Màng nhện: Màng nhện là lớp ở giữa, mỏng, không có mạch máu và không bám sát vào bề mặt não. Giữa màng nhện và màng mềm là khoang dưới nhện – một khoang thật, chứa dịch não tủy và các mạch máu lớn [1]. Trong khoang này còn có các bè nhện giúp nối màng nhện với màng mềm. Dịch não tủy lưu thông trong khoang dưới nhện có vai trò đệm, bảo vệ và duy trì môi trường ổn định cho não.
Màng mềm: Màng mềm là lớp trong cùng, rất mỏng và giàu mạch máu, dính sát vào bề mặt não và đi sâu vào các rãnh não. Lớp này có vai trò nuôi dưỡng mô não và tham gia vào cấu trúc đám rối mạch mạc – nơi sản xuất dịch não tủy [2]. Không có khoang thật giữa màng mềm và não, vì chúng gắn chặt với nhau.
Tổng thể, từ ngoài vào trong là xương sọ, màng cứng, khoang dưới màng cứng (ảo), màng nhện, khoang dưới nhện (thật, chứa dịch não tủy), màng mềm và cuối cùng là nhu mô não.
2/ Máu tụ ngoài màng cứng
Máu tụ ngoài màng cứng là tình trạng máu tích tụ trong khoang giữa xương sọ và màng cứng, một khoang vốn không tồn tại trong điều kiện bình thường nên được gọi là khoang ảo. Khi xảy ra chảy máu, áp lực của dòng máu sẽ bóc tách màng cứng ra khỏi mặt trong của xương sọ, tạo thành một khối máu tụ có áp lực cao [5]. Khối máu này không chỉ chiếm chỗ mà còn nhanh chóng làm tăng áp lực nội sọ, từ đó chèn ép trực tiếp lên nhu mô não và các cấu trúc lân cận, gây rối loạn chức năng thần kinh.
Về cơ chế bệnh sinh, nguyên nhân thường gặp nhất là chấn thương vùng thái dương – nơi xương sọ tương đối mỏng và dễ gãy. Khi xương bị vỡ, động mạch màng não giữa chạy ngay phía dưới có thể bị rách, dẫn đến chảy máu ồ ạt. Do nguồn chảy máu là động mạch nên tốc độ chảy nhanh và áp lực lớn, khiến khối máu tụ tăng kích thước rất nhanh chỉ trong thời gian ngắn. Điều này giải thích vì sao bệnh có thể diễn tiến đột ngột và nguy hiểm. Ngoài ra, trong một số trường hợp hiếm hơn, máu tụ ngoài màng cứng có thể do tổn thương tĩnh mạch hoặc xoang tĩnh mạch màng cứng, tuy nhiên diễn tiến thường chậm hơn [4].
Về lâm sàng, dấu hiệu điển hình là “khoảng tỉnh”, một đặc điểm rất quan trọng giúp định hướng chẩn đoán [3]. Sau chấn thương, bệnh nhân có thể mất ý thức thoáng qua do chấn động não, sau đó tỉnh lại và có vẻ ổn định trong một khoảng thời gian ngắn. Tuy nhiên, khi khối máu tụ tiếp tục lớn dần, áp lực nội sọ tăng lên sẽ làm tình trạng bệnh nhân nhanh chóng xấu đi. Người bệnh bắt đầu xuất hiện đau đầu tăng dần, buồn nôn và nôn, giảm mức độ ý thức. Khi tình trạng chèn ép tiến triển, có thể xuất hiện các dấu thần kinh khu trú như giãn đồng tử cùng bên tổn thương do chèn ép dây thần kinh III, kèm theo yếu hoặc liệt nửa người đối bên [5]. Nếu không được phát hiện và can thiệp kịp thời, khối máu tụ có thể gây tụt kẹt não – một biến chứng cực kỳ nguy hiểm – và dẫn đến tử vong.

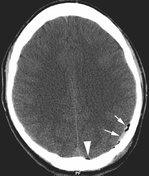
3/ máu tụ dưới màng cứng
Máu tụ dưới màng cứng là tình trạng máu tích tụ trong khoang giữa màng cứng và màng nhện [3]. Đây cũng là một khoang ảo, nhưng khi có chảy máu, máu sẽ lan rộng dọc theo bề mặt não thay vì tạo khối khu trú.
Nguyên nhân thường gặp là do rách các tĩnh mạch cầu nối – các tĩnh mạch dẫn máu từ não về xoang tĩnh mạch màng cứng. Khi có chấn thương, đặc biệt là lực gia tốc – giảm tốc đột ngột, các tĩnh mạch này dễ bị kéo căng và đứt. Do nguồn chảy máu là tĩnh mạch nên áp lực thấp và tốc độ chảy chậm hơn so với động mạch, khiến khối máu tụ hình thành từ từ [4]. Vì vậy, bệnh thường diễn tiến âm thầm và dễ bị bỏ sót. Tình trạng này đặc biệt hay gặp ở người cao tuổi do hiện tượng teo não làm tăng khoảng cách giữa não và màng cứng, khiến các tĩnh mạch cầu nối dễ bị kéo căng và tổn thương, hoặc ở những bệnh nhân có tiền sử chấn thương nhẹ nhưng không được chú ý.
Về lâm sàng, máu tụ dưới màng cứng không có “khoảng tỉnh” điển hình như máu tụ ngoài màng cứng mà các triệu chứng thường xuất hiện một cách từ từ và tiến triển dần theo thời gian. Bệnh nhân có thể biểu hiện đau đầu kéo dài, lú lẫn, giảm trí nhớ, thay đổi tính cách hoặc hành vi, và dần dần xuất hiện các dấu thần kinh khu trú như yếu hoặc liệt nửa người. Khi khối máu tụ lớn lên và gây tăng áp lực nội sọ, bệnh nhân có thể giảm tri giác, thậm chí hôn mê [6]. Trong thể cấp tính, triệu chứng có thể xuất hiện sớm và rầm rộ hơn, tuy nhiên nhìn chung vẫn chậm hơn và ít điển hình hơn so với máu tụ ngoài màng cứng.

Nguồn: Ly, J. Q., Sanders, T. G., Smirniotopoulos, J., & Folio, L. Subdural hematoma. ResearchGate.
4/ Xuất huyết dưới màng nhện
Xuất huyết dưới nhện là tình trạng máu chảy vào khoang dưới nhện – khoang nằm giữa màng nhện và màng mềm, nơi chứa dịch não tủy và hệ thống các mạch máu lớn nuôi não. Bình thường, khoang này chứa dịch não tủy trong suốt giúp bảo vệ và đệm cho não, nhưng khi mạch máu bị vỡ, máu sẽ tràn vào và hòa lẫn với dịch não tủy. Do đặc điểm khoang dưới nhện thông với nhau, máu không khu trú tại một vị trí mà lan rộng theo các rãnh não, bể nền và các khoang dịch, từ đó gây kích thích lan tỏa lên toàn bộ màng não và làm tăng áp lực nội sọ [6].
Về cơ chế bệnh sinh, nguyên nhân thường gặp nhất là vỡ túi phình mạch não, đặc biệt tại các vị trí phân nhánh của vòng Willis – nơi thành mạch yếu và dễ bị giãn. Khi túi phình vỡ, máu sẽ phun trực tiếp vào khoang dưới nhện với áp lực cao. Ngoài ra, xuất huyết dưới nhện cũng có thể xảy ra sau chấn thương sọ não hoặc do các dị dạng mạch máu như dị dạng động – tĩnh mạch (AVM). Do máu lan trong môi trường dịch não tủy, nó không tạo thành khối máu tụ rõ ràng như các loại xuất huyết khác mà phân bố theo các khoang dịch, gây ảnh hưởng rộng rãi đến não [5].
Về lâm sàng, biểu hiện điển hình và quan trọng nhất là cơn đau đầu đột ngột dữ dội, đạt mức tối đa chỉ trong vài giây đến vài phút, thường được bệnh nhân mô tả là “cơn đau đầu tồi tệ nhất trong đời”. Cơn đau này xuất hiện do kích thích mạnh các thụ thể đau ở màng não. Bệnh nhân thường kèm theo buồn nôn, nôn, cứng gáy do kích thích màng não, sợ ánh sáng và có thể có rối loạn ý thức từ nhẹ đến nặng [3]. Trong những trường hợp nặng, bệnh nhân có thể mất ý thức hoặc hôn mê ngay từ đầu do tăng áp lực nội sọ đột ngột hoặc do tổn thương lan rộng. Đây là một tình trạng cấp cứu nội – ngoại khoa thần kinh cần được chẩn đoán và xử trí khẩn cấp để giảm nguy cơ tử vong và di chứng.

Nguồn: Inselspital, Department of Neurosurgery. (n.d.). Ruptured aneurysm causing subarachnoid hemorrhage [Illustration]. Inselspital Bern.
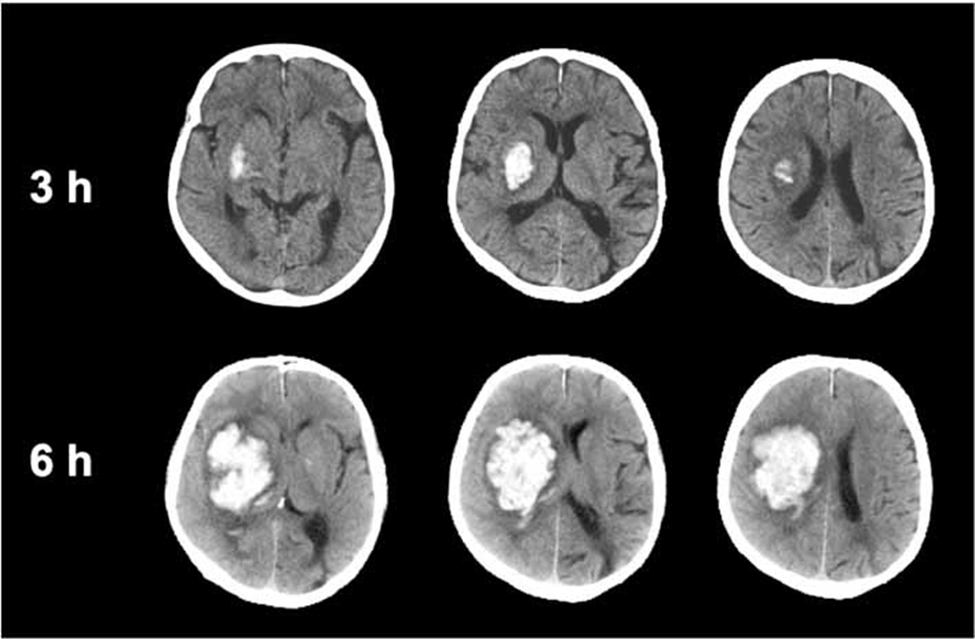
5/ Xuất huyết trong nhu mô não
Xuất huyết trong nhu mô não là tình trạng máu chảy trực tiếp vào mô não, tạo thành một khối máu tụ nằm trong nhu mô [1]. Khác với các loại xuất huyết khác xảy ra ở các khoang như ngoài màng cứng, dưới màng cứng hay dưới nhện, trong trường hợp này máu nằm ngay trong tổ chức não, gây phá hủy trực tiếp các tế bào thần kinh xung quanh. Đồng thời, khối máu tụ còn chiếm chỗ trong hộp sọ, làm tăng áp lực nội sọ và chèn ép các cấu trúc não lân cận, có thể dẫn đến phù não và lệch đường giữa nếu kích thước lớn.
Về cơ chế bệnh sinh, nguyên nhân thường gặp nhất là tăng huyết áp mạn tính. Tình trạng tăng huyết áp kéo dài làm tổn thương thành các tiểu động mạch trong não, gây thoái hóa và hình thành các vi phình mạch [4]. Khi các mạch này vỡ, máu sẽ tràn vào nhu mô não. Các vị trí hay gặp bao gồm nhân xám trung ương như nhân bèo, đồi thị, bao trong, ngoài ra còn có thể gặp ở cầu não hoặc tiểu não. Bên cạnh đó, các nguyên nhân khác như dị dạng mạch máu (AVM), u não chảy máu, rối loạn đông máu hoặc chấn thương cũng có thể gây xuất huyết trong nhu mô, đặc biệt ở người trẻ [6].
Về lâm sàng, bệnh thường khởi phát đột ngột với các dấu thần kinh khu trú rõ rệt, phản ánh vị trí tổn thương trong não [2]. Bệnh nhân có thể xuất hiện yếu hoặc liệt nửa người, rối loạn ngôn ngữ (nói khó hoặc mất ngôn ngữ), méo miệng, rối loạn cảm giác hoặc mất thăng bằng. Kèm theo đó là các triệu chứng tăng áp lực nội sọ như đau đầu, buồn nôn, nôn và giảm mức độ ý thức. Trong các trường hợp nặng, bệnh nhân có thể nhanh chóng rơi vào hôn mê. Mức độ và biểu hiện cụ thể phụ thuộc vào vị trí và kích thước của ổ xuất huyết, cũng như mức độ phù não và chèn ép các cấu trúc quan trọng.

Nguồn: Bornes, T. D., & Butcher, K. Management of hypertension in the acute phase of stroke [Figure 3: Hematoma expansion]. ResearchGate
6/ Kết luận
Tóm lại, xuất huyết não là một nhóm bệnh lý nguy hiểm với nhiều thể khác nhau, được phân loại dựa trên vị trí giải phẫu của máu trong sọ não. Mỗi loại xuất huyết – từ ngoài màng cứng, dưới màng cứng, dưới nhện đến trong nhu mô não – đều có cơ chế bệnh sinh, diễn tiến và biểu hiện lâm sàng đặc trưng, gắn liền với cấu trúc các lớp màng não và hệ mạch não.

Việc nắm vững mối liên hệ giữa giải phẫu và bệnh lý không chỉ giúp nhận diện nhanh trên lâm sàng và hình ảnh học mà còn có ý nghĩa quan trọng trong chẩn đoán sớm, tiên lượng và xử trí kịp thời. Trong thực hành, phát hiện sớm các dấu hiệu cảnh báo và hiểu rõ đặc điểm từng loại xuất huyết là yếu tố then chốt nhằm giảm tỷ lệ tử vong và hạn chế di chứng thần kinh cho người bệnh.
———————————————
Nguồn tài liệu tham khảo
1/ Bộ Y tế. (2020). Hướng dẫn chẩn đoán và điều trị đột quỵ não. Nhà xuất bản Y học.
2/ Hồ Hữu Quân và cộng sự. (2024). Đặc điểm lâm sàng và hình ảnh học xuất huyết não. Tạp chí Y học Việt Nam.
3/ Trường Đại học Y Hà Nội. (2022). Giáo trình Thần kinh học. Nhà xuất bản Y học.
4/ Nguyễn Văn Thông. (2021). Đột quỵ não: chẩn đoán và điều trị. Nhà xuất bản Y học.
5/ Greenberg, S. M., Ziai, W. C., Cordonnier, C., Dowlatshahi, D., Francis, B., Goldstein, J. N., … American Heart Association/American Stroke Association. (2022).
6/ Wilson, D., Ambler, G., Lee, K. J., Lim, J. S., Shiozawa, M., Koga, M., … Werring, D. J. (2023). Cerebral microbleeds and intracerebral hemorrhage risk. The Lancet Neurology, 22(1), 55–65.
Y khoa Diễn đàn Y khoa, y tế sức khoẻ, kiến thức lâm sàng, chẩn đoán và điều trị, phác đồ, diễn đàn y khoa, hệ sinh thái y khoa online, mới nhất và đáng tin cậy.
